Western無蛋白快速封閉液
Protein Free Rapid
Blocking Buffer for WB
● 產品組成:
|
貨號
|
名稱
|
規格
|
保存條件
|
|
PF1070-100ml
|
Western無蛋白快速封閉液
|
100 ml
|
2-8℃
|
|
PF1070-500ml
|
Western無蛋白快速封閉液
|
500 ml
|
2-8℃
|
|
|
說明書
|
一份
|
|
● 產品簡介:
本產品專為快速高效封閉Western Blot 轉印膜而設計,采用無蛋白配方,避免抗體與封閉劑的非特異結合,最大程度地降低了背景。同時,本封閉劑無內源的磷酸化蛋白及生物素,對磷酸化特異抗體及生物素檢測也不會產生干擾。本封閉劑不與蛋白產生非特異性結合,因而只封閉膜而不會屏蔽樣品蛋白的抗體識別位點,大大提高了抗體檢測靈敏度。實驗表明,本封閉劑對許多抗體都有不同程度的信號增強作用。然而這種信號增強作用因抗體而異,對某一特定抗體,并不一定具有確定的信號增強作用。
注意: 沒有任何一種封閉劑能適合所有抗原和抗體的檢測系統。如出現本試劑不適合的抗體,請替換使用其它種類的封閉劑如BSA或脫脂奶粉等。
● 貯存:
2-8℃貯存,有效期一年。
● 注意事項:
1. 快速高效:10-60 min內完成封閉;只結合封閉轉印膜而不結合蛋白,因此不會屏蔽樣品蛋白的抗體識別位點,與傳統的脫脂奶粉和BSA 封閉相比信噪比更高;
2. 方便快捷:無需稀釋,即取即用;
3. 性能可靠:無蛋白配方,與抗體無交叉反應;
4. 應用范圍廣:無磷酸化蛋白,無生物素,尤其適合磷酸化特異抗體及生物素檢測系統;
5. 節省抗體:使用本封閉劑后,所需的最適抗體濃度低于常規使用濃度,可大大節省抗體使用量。
6. 與PVDF膜相比,NC膜需要更長時間的封閉。
● 使用說明:
1. 本產品無需稀釋,開蓋即用。
2. 完成轉膜后,使用TBST漂洗轉印膜3次,每次5分鐘;
3. 將轉印膜放入到雜交孵育盒中,加入10-20 ml 無蛋白快速封閉液完全覆蓋轉印膜,置于搖床輕輕搖動,參考下表確定封閉時間:
|
膜類型
|
推薦封閉時間
|
反應溫度
|
|
PVDF膜
|
10-20分鐘
|
常溫 25度
|
|
NC膜
|
40-60 分鐘
|
常溫25度
|
注意:使用本產品,PVDF膜和NC膜使用推薦封閉時間,經多種抗體的測試封閉效果顯著優于常規的BSA封閉1 h。對于一些背景非常高的抗體,可以嘗試延長封閉時間。如有特殊需要,也可4℃封閉過夜。
4. 封閉結束后棄去封閉液,進行Western Blot后續操作。
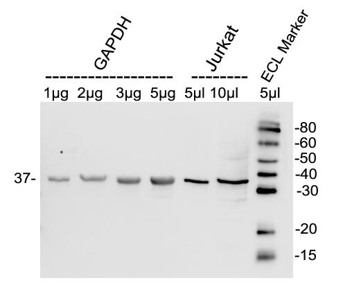
● 實驗示例:

Jurkat細胞總蛋白GAPDH檢測
電泳條件:200 V 1×TGS 40-12 mA 53 min
轉膜條件:NC膜,1×RealBlot快速轉膜液(Cat:RT5020)
恒流400 mA 35 min 65-59 V
封閉:無蛋白封閉液(Cat:PF1070) RT 60 min
一抗:兔GAPDH多抗(Cat: RGA1040) 1:2000 過夜4℃孵育
二抗:羊抗兔IgG-HRP(Cat: RGA1040) 1:5000 RT 60min
ECL發光:RealECL發光液(Cat:EC2520 ) 10秒曝光

植物葉綠體LHCa3檢測
Electrophoresis: 10% RealPAGE SDS
Electrophorosis(RTD6148)
Transfer: 1×RealBlot transfer buffer(Cat:RT5020)
350 mA blotting to NC membrane for 30
min.
Blocking: 無蛋白封閉液(Cat:PF1070) RT for 20 min;
BSA at RT for 1 h.
Primary antibody: Lhca3(Cat:RGL2080) 1:2000 dilution at RT for
1h
Secondary antibody: 1:5000 dilution using
Goat Anti-Rabbit IgG AP(Cat:AGR1030)
Detection: using
BCIP/NBT(Cat:BN1026) at RT for 5 min