Anti-His抗體(鼠單抗)
Anti-His Antibody(Monoclonal Antibody from Mouse)
|
產品編號
|
產品名稱
|
規格
|
|
RGH2030
|
Anti-His抗體(鼠單抗)
|
20 μl
|
● 產品簡介
為了提高重組蛋白表達量、可溶性并方便其純化, 各種蛋白標簽通常被添加在重組蛋白的N 端、C 端或內部。組氨酸標簽(6×His Tag )是最常用的蛋白標簽之一, 它通常由連續 6 個組氨酸組成。因其與二價金屬離子,尤其是鎳離子親和力較高,故多采用鎳瓊脂糖介質純化。6×His 單克隆抗體可用于 6×His標簽蛋白檢測以判斷其表達及純化情況。
|
來源
|
用途及稀釋比例
|
抗體類型
|
|
Mouse
|
WB 1:2000-5000
IHC 1:200-1000
IF 1:200-1000
|
單克隆抗體
|
注:WB, Western
blot; IP, Immunoprecipitation; IF, Immunofluorescence
本抗體如果用于常規的Western檢測,至少可以檢測20次。
● 貯存形式:
穩定溶液,~1 mg/ml抗體溶于PBS,50%甘油,pH7.2。
● 保存、效期及運輸條件:
-20℃保存,一年有效;避免反復凍融;濕冰運輸。
● 使用說明:
1. Western Blot雜交(ECL顯色):1:2000-10000稀釋,常溫孵育1-2 h或4℃過夜。
2. 免疫熒光(IF)和免疫組化(IHC):1:200-1000稀釋。
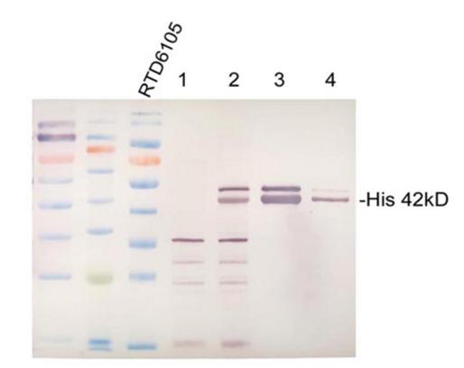
● 實驗示例:

凝膠:12%T3.3C Tris-Glycine gel 恒壓150V 37-12 mA 56min
轉膜:1×半干轉buffer(含SDS)+20%甲醇 恒流400 mA
25 min
封閉:BSA封閉(貨號:WB1070)
一抗:Anti-His抗體(鼠單抗),1:5000(貨號:RGH2030);
二抗:AP標記羊抗兔IgG, 1:5000(貨號:AGR1030)
顯色:BCIP/NBT顯色(貨號:BN1026)