非變性蛋白電泳Marker轉膜問題
非變性蛋白電泳Marker轉膜問題
1. 所有的預染蛋白Marker都是變性Marker,不適用于非變性電泳。
2. 蛋白非變性電泳條件下,不能精確判斷蛋白的分子量大小。因為在非變性條件下,蛋白的電荷,空間結構,物化性質等都對蛋白的遷移有影響。
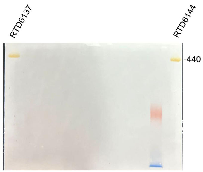
3. 非變性蛋白電泳Marker(RTD6137,RTD6142,RTD6144)由于要保持蛋白的天然結構,都沒有偶聯染料,在電泳時基本都看不到條帶;然而,RTD6137和RTD6144中的440 kD和880 kD由于天然蛋白中含有鐵離子,使得電泳后在膠上可見淡黃色,其中440 kD顏色更深。凝膠轉膜后,膜上也可以看到黃色的440 kD條帶(下圖),可以大體判斷Marker轉膜的效果。

4. 有兩種方法可以解決非變性Marker轉膜后條帶顯示問題:
第一種方法:凝膠轉膜后用麗春紅染色液(貨號:RTD6301)染膜,可以看到Marker條帶,順便可以檢測轉膜效率,然而要注意的是麗春紅染色靈敏度比較低,可能不能完全看到完整的Marker條帶。


注:北京師范大學惠贈圖片
第二種方法(下圖):電泳結束后,把含有Marker泳道的凝膠切下,單獨用考馬斯亮藍染色液染色(貨號:RTD6202),剩余的凝膠去完成轉膜到ECL發光檢測過程,最后的發光結果和Marker染色結果拼接判斷條帶范圍。
Jurkat 無去垢劑提取TP,GAPDH檢測(pI~8.6):
凝膠:RTD6139-0416 BN預制膠
電泳:1×藍色電泳緩沖液(含0.002% G-250)
穩壓150V 45分鐘;1×無色電泳緩沖液 穩壓150V 46分鐘
膠浸泡:1×BN轉膜緩沖液(含20%甲醇)+0.1%SDS浸泡10分鐘
轉膜:1×BN轉膜緩沖液(含20%甲醇),穩流200 mA
(電壓89-81V) 1.5小時,未冰浴
膜漂洗去藍色:PVDF膜無水甲醇浸泡10分鐘至膜無色
封閉:無蛋白快速封閉,RT,30分鐘
一抗:GAPDH抗體,1:5000 RT 一小時
二抗:羊抗兔IgG-HRP 1:5000 RT 1.5小時
ECL:ECL發光,機器拍照,曝光2min